이는 유전자 조작으로 인하여 줄기세포가 또 다른 암을 유발할 위험성과 항암약물이 주입되었을 때 줄기세포의 암세포 추적 능력이 현저히 저하되기 때문이다. 연구팀은 줄기세포를 약물 전달체로 활용하되, 유전자를 조작하는 대신 나노항암약물을 줄기세포의 표면에 결합시켰다. 여러 줄기세포 중에서 골수 유래 중간엽 줄기세포 표면의 CD90 단백질에 나노항암제를 결합했다. 이는 줄기세포의 암 추적 기능을 안정적으로 유지하면서도 항암효과를 극대화한 것이다. 이 연구 결과는 국제학술지인 어드밴스드 사이언스(Advanced Science)의 5월호 표지 논문(frontispieces)으로 게재됐다.
장기이식(Organ implant)이나 조직이식(Tissue implant) 수술에서 가장 중요한 관건 중 하나는 기증자 혹은 공여자(Donor)의 장기가 손상되기 전에 최대한 빨리 수여자에게 수송되어 이식되어야 한다는 것이다. 이 때 장기마다 다르지만 일반적으로 심장을 포함해 이식이 가능한 인체 장기나 조직은 아이스 박스에 담긴 채 4시간 이상은 보존되지 않는다는 것이다. 왜 4시간이냐 하면 기증자가 기증할 당시의...
가공식품을 많이 먹는 사람은 생명연장 비밀인 텔로미어(telomeres)가 짧아진다는 연구 결과가 나왔다.스페인 나바라대학(Navarra University) 연구팀은 하루에 3회 이상 정크푸드나 패스트푸드, 간편식품 등 가공식품을 먹는 사람은 그렇지 않은 사람에 비해 텔로미어 길이가 짧아지고 있다는 사실을 발견했다.9월 1일(현지시각)부터 4일까지 열리는 온라인 ‘유럽 비만 국제회의(ECOICO 2020)’에서 발표한 연구 결과(논문명: Ultra-processed food consumption and...
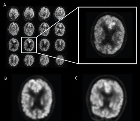
전 세계에서 수천만 명이 앓고 있지만 조기 진단이 어려운 알츠하이머병을 인공지능(AI)으로 조기에 진단하는 데 성공했다.캘리포니아대학 샌프란시스코 캠퍼스(UCSF) 방사선 의학영상 진단학과 손재호 박사 연구팀이 뇌 스캔을 이용한 딥러닝 훈련을 실시한 결과, 40건의 사례에서 알츠하이머 치매 조기 진단에 성공했다고 발표했다.연구 결과는 국제적인 의학저널인 '방사선학(Radiology)' 6일자에 논문 ‘A Deep Learning Model to...
























![[보고서] 딥씨크 출현과 한국 AI 미래전략](http://www.itnews.or.kr/wp-content/uploads/2025/02/7-218x150.png)

![[2024 애플 동향] ③ 애플카 ‘프로젝트 타이탄’의 실패 원인](http://www.itnews.or.kr/wp-content/uploads/2024/03/1-2-218x150.png)
![[2024 애플 동향] ② 애플카 ‘프로젝트 타이탄’ 10년간 의 여정](http://www.itnews.or.kr/wp-content/uploads/2024/03/4-218x150.png)
![[2024 애플 동향] ① 애플 프로젝트 타이탄’ 종료](http://www.itnews.or.kr/wp-content/uploads/2024/03/Midjourney-218x150.png)




